Nella relative foto del sorriso iniziale i denti appaiano piccoli e lasciano trasparire un enorme buco nero antiestetico. La situazione veniva peggiorata anche dalla presenza di diastemi (denti distanziati). Sul lato inferiore sinistro esisteva il problema opposto, ponte ormai ventennale, ma inestetico e con dinamica masticatoria inadatta in quanto troppo voluminoso rispetto alla grandezza naturale dei suoi denti.
L’usura dei denti aveva comportato anche un inestetismo a livello labiale, determinandone l’accartocciamento a bocca chiusa.
La condizione clinica era ulteriormente peggiorata dalla estrema fragilità di tutti i denti in quanto oggetto di microfratture.
Venne consigliata una riabilitazione protesica fissa totale superiore ed inferiore consistente nel ripristino dell’altezza perduta delle labbra e nella protezione dei denti ormai infiltrati, fratturati e cariati quasi ovunque.

Sorriso iniziale

Visione frontale iniziale

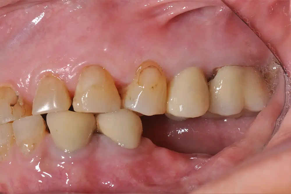
Visione laterale sinistra iniziale

Visione laterale destra iniziale

Arcata superiore iniziale

Arcata inferiore iniziale
L’obiettivo concordato era anche ottenere un notevole miglioramento estetico.
Per motivi economici la signora preferì riabilitare tutte le arcate tranne il settore frontale inferiore.
Si passò attraverso una protesizzazione provvisoria che ci consentì di valutare l’estetica e il ristabilimento della normale altezza degli incisivi, rappresentandoci un’ottima guida per la futura estetica labiale e dentale.
Le foto finali mostrano il ristabilimento di un gradevole sorriso al livello degli incisivi, il notevole miglioramento estetico e masticatorio dei settori laterali che essendo completamente protesizzati ci hanno consentito di risolvere anche il problema dell’usura, delle fratture ed infiltrazioni. Le problematiche relative al vecchio ponte inferiore sinistro furono risolte con un nuovo ponte con forma in perfetta armonia con la normale dentatura della signora mentre a destra vennero inseriti due nuovi impianti poi protesizzati.

Sorriso finale

Visione frontale iniziale

Visione laterale sinistra finale

Impianti inseriti con moncone

Visione laterale destra finale

Arcata superiore finale

Arcata inferiore finale
Lavorando sulle protesi laterali inferiore e superiori abbiamo ridonato un’altezza del viso normale.
Il piano di trattamento si svolse nell’arco di 2 anni.
Visita il nostro canale dove puoi trovare tutti i nostri video:













0 commenti