Studio Dentistico a San Benedetto del Tronto
Il Tuo Benessere Inizia da un Sorriso Sano
Ortodonzia e protesi dentaria
Chirurgia Orale e Paradontologia
Conservativa
Estetica del sorriso
Medicina estetica del viso
Sedazione cosciente inalatoria
Ogni trattamento è pensato per la salute e la bellezza del tuo sorriso. Dalla prevenzione all’estetica.
HAI UN URGENZA ? CONTATTACI ADESSO !
Per qualsiasi tipologia di urgenza puoi contattarci siamo pronti a darti il supporto che ti occorre in 24 ore!
0735 588984
COME RAGGIUNGERE LO STUDIO DENTISTICO
Via Carlo Pisacane, 1, San Benedetto del Tronto (AP) utilizza la mappa Google per raggiungerci.
VEDI LA MAPPA
ORARI
Mart. – Merco. – Giove. :9:00am – 12:00pm / 15:00am – 20:00pm
Venerdì:
9:00am – 12:00pm
Per un Sorriso Perfetto il Tuo Studio Dentistico di Fiducia.
Benvenuti nello Studio Dentistico Dott. Salotti a San Benedetto del Tronto, il tuo riferimento per cure odontoiatriche . Siamo specializzati in trattamenti personalizzati per adulti e bambini, garantendo risultati di alta qualità e un approccio orientato al benessere del paziente. Il nostro obiettivo è offrire un servizio completo e professionale, rendendo ogni visita una piacevole esperienza.
Esperienza e qualità
Scegliere un dentista a San Benedetto del Tronto può sembrare complicato. Ma non deve esserlo.
Trattamenti Complessi di alta qualità professionale
Il nostro studio dentistico vanta un percorso di formazione all’avanguardia con aggiornamenti periodici di alto livello.
Un Esperienza Pluriennale per risultati di ottimo profilo
Il dottor Salotti ha un elevata esperienza in odontoiatria e protesi dentaria. Dal 1986 ad oggi è intervenuto su migliaia di casi sia semplici che complessi.
Innovazione e Tecnologia all’Avanguardia
Il nostro studio si avvale di strumenti tecnologici di ultima generazione, alleati indispensabili per una approfondita diagnosi e cura delle malattie della bocca.
INNOVAZIONE TECNOLOGICA
per uno studio all’Avanguardia
Il dottor Salotti è stato sempre molto sensibile all’innovazione tecnologica, cosciente del fatto che la tecnica all’avanguardia è un alleato fondamentale nella diagnosi e nella salute della bocca.
DiagnoCAM
Dispositivo digitale e mobile per il rilevamento della carie.
Sedazione Cosciente
Una valida soluzione per bambini e pazienti ansiosi, offrendo massimo confort abbandonando difficoltà di approccio al trattamento.
Radiologia Digitale
Maggiore accuratezza, velocità e dettaglio dell’esame diagnostico.
Il Dottor Mauro Salotti
Laureato in odontoiatria e protesi dentaria nel 1984
Prendersi cura dei propri denti non significa solo curare un problema, ma ritrovare il piacere di sorridere con fiducia. Il Dottor Mauro Salotti, titolare del nostro Studio Dentistico a San Benedetto del Tronto, offre da anni competenza, attenzione e professionalità a pazienti di tutte le età — dai bambini ai nonni — garantendo trattamenti personalizzati e risultati duraturi.
Ecco cosa rende unico il suo approccio:
Esperienza e aggiornamento costante:
il Dottor Salotti unisce anni di pratica clinica a una continua formazione, per offrire le tecniche più moderne e sicure.
Approccio umano e rassicurante:
ogni paziente viene seguito con empatia, spiegando con chiarezza ogni passaggio del trattamento per eliminare paure e incertezze.
Soluzioni per tutta la famiglia:
dallo sbiancamento e le cure dentali per adulti, all’ortodonzia e alla prevenzione per i più piccoli, tutto in un ambiente sereno e accogliente.
Un servizio professionale
Prendersi cura del proprio sorriso è importante a qualsiasi età! Nel nostro Studio Dentistico di San Benedetto del Tronto, ci occupiamo di ogni esigenza, dai più piccoli ai nonni, con un approccio attento, moderno e personalizzato. Che tu voglia ritrovare denti sani, forti e belli, siamo qui per aiutarti con trattamenti sicuri e indolori.
Cura e prevenzione dentale:
Igiene orale professionale, sigillature e applicazione di fluoro per bambini, visite periodiche per mantenere il sorriso sempre sano.
Estetica e ricostruzioni:
Tutte le modalità di ricostruzione di un dente vengono affrontate sia in relazione ad eventi post-traumatici che per carie destruenti. Non si tralasciano interventi di puro carattere estetico come faccette, sbiancamenti, intarsi. Quest’ultimi riescono a donarci resistenza del dente ed estetica.
Trattamenti specialistici:
Implantologia, ortodonzia per adulti e bambini, e terapie per gengive e articolazione mandibolare.

Medicina Estetica del Viso
Si affrontano tutte le metodiche secondo scienza medica etica e professionale: peeling, bio-stimolanti e bio-ristrutturanti, tossina botulinica, filler, Insulina-low dose. Lo scopo è valorizzare una bellezza che ogni uno di noi ha in quanto tale senza stravolgere forma e definizione del viso.
La Prima visita specialistica per il tuo Sorriso Sano e Duraturo, meriti l’eccellenza.
La nostra visita specialistica offre una valutazione approfondita e personalizzata, basata su competenza, tecnologia all’avanguardia e un approccio umano. Qui non si tratta di confrontare preventivi, ma di investire in una salute dentale solida e sicura. Affidati a chi mette al primo posto il benessere a lungo termine e la qualità del servizio: La tua salute merita il meglio.
Una visita Accurata
La prima visita deve essere molto accurata dura almeno un ora perché ha priorità di vero atto medico e consente di formulare un piano di trattamento definito a livello di metodo e di tempi.
Le successive visite di controllo semestrali, nel mantenimento della periodicità, SONO GRATUITE PER SEMPRE.
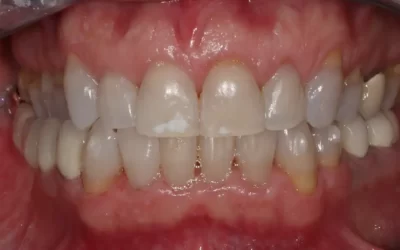
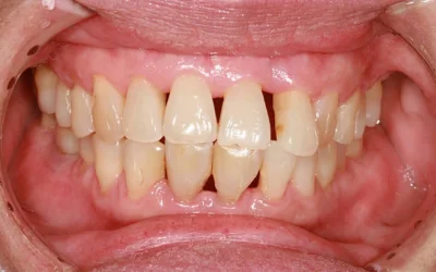
Gli ultimi casi clinici
Contattaci e scopri come possiamo aiutarti
Le mascherine invisibili “allineatori” maschio 58 anni
Le mascherine invisibili “allineatori” Paziente maschio 58 anni Un sorriso armonioso e ben...
Caso complesso chirurgico protesico per impianti dentali 3° di 3° | Studio Dentistico San Benedetto
CASO COMPLESSO CHIRURGICO-PROTESICO: 3° PARTE – FASE FINALE Paziente maschio 45 anni Un sorriso...
Caso complesso chirurgico protesico per impianti dentali 2° di 3° | Studio Dentistico San Benedetto
CASO COMPLESSO CHIRURGICO-PROTESICO: 2° PARTE – FASE INTERMEDIA Paziente maschio 45 anni Quando si...
I Trattamenti offerti presso il nostro Studio Dentistico a San Benedetto

Trattamenti di alta qualità
Lo studio del Dottor Salotti è attivo sul territorio dal 1986 ed è specializzato in tutte le branche dell’odontoiatria: dalla conservativa alla protesi, dall’ortodonzia alla chirurgia orale, dalla cura delle articolazioni mandibolari alla paradontologia, per finire con il trattamento dei bambini e la medicina estetica del viso.
Estetica del viso con radiofrequenza
L'estetica del viso con Migliorare l'estetica del viso con la radiofrequenza è un trattamento di...
Sbiancamento denti – rimuovi in sicurezza le macchie
Trattamento professionale per lo sbiancamento dei denti.
PROTESI MOBILE
La protesi mobile sta a sottolineare una protesi che può essere facilmente tolta e riapplicata in...
PROTESI FISSA
La protesi fissa chiamata "ponte" è un restauro che sostituisce uno o più denti mancanti. È...
FACCETTE ESTETICHE
L'estetica del sorriso è alla base del nostro impegno quotidiano, rappresentando ormai un settore...
CHIRURGIA DELLA BOCCA
Lo studio esegue piccoli interventi di chirurgia ambulatoriale come: asportazioni di cisti; denti...
Informazioni utili per la salute dei denti
SEGUI I CONSIGLI DEL DENTISTA
Come si devitalizza un dente
Come si devitalizza un dente Hai mai provato un dolore dentale intenso e ti sei chiesto se esista una soluzione...
Relazione tra masticazione e postura
Relazione tra masticazione e postura Molte persone non immaginano quanto la salute della bocca possa influenzare il...
Apertura della bocca: cause e rimedi Dentista San Benedetto
Apertura della bocca e sue complicanze Molte persone non si rendono conto di quanto il corretto funzionamento della...
Perché Scegliere lo Studio Dentistico
dott. Salotti Mauro
Il nostro studio dentistico a San Benedetto del Tronto si distingue per professionalità, tecnologie all’avanguardia e attenzione al paziente. Offriamo un’ampia gamma di trattamenti che spaziano su tutte le branchie dell’odontoiatria, con soluzioni su misura per ogni esigenza. Il nostro team di esperti lavora per garantire un sorriso sano e duraturo, diventando il dentista di fiducia per tante famiglie.
Implantologia Dentale:
ripristina funzionalità ed estetica con soluzioni durature.
Ortodonzia:
trattamenti per bambini e adulti, inclusi apparecchi invisibili.
Cure Preventive:
controlli periodici e igiene dentale per prevenire problemi futuri.
Emergenze Odontoiatriche:
interventi rapidi per risolvere dolore o traumi.
Informazioni utili Studio Dentista San Benedetto del Tronto
Le Domande Frequenti
Domande frequenti sui servizi, i costi e le metodologie dello studio dentistico Dott. Mauro Salotti a San Benedetto del Tronto
Scegli con cura il tuo Dentista San Benedetto del Tronto.
Quali sono i prezzi di un dentista a San Benedetto del Tronto?
I prezzi variano in base al tipo di trattamento, ma presso il nostro studio offriamo consulenze dettagliate e professionali per valutare il miglior piano di cura, garantendo un equilibrio tra qualità e convenienza.
Quali servizi offre il vostro studio dentistico a San Benedetto del Tronto?
Quanto durano gli impianti dentali offerti dal vostro studio?
Il vostro studio dentistico offre trattamenti di ortodonzia per bambini?
Come gestite le emergenze dentali?
Siamo disponibili per trattamenti d’emergenza per dolore acuto o danni ai denti IN GIORNATA. Il nostro studio dentistico risponde rapidamente alle emergenze per garantire sollievo e riparazioni immediate.
Il vostro studio è specializzato in trattamenti estetici?
Come posso prenotare una consulenza presso il vostro studio dentistico?
Ogni quanto tempo è necessario fare un controllo dal dentista?
Odontoiatra e Medico Estetico del viso
Presso lo Studio del Dottor Salotti Mauro Odontoiatra e Medico Estetico del Viso a San Benedetto del Tronto la medicina estetica è un’estensione dell’odontoiatria: non solo denti sani, ma un volto armonioso e naturale.
Attraverso trattamenti come filler labbra, botulino, biorivitalizzazione e peeling viso, è possibile migliorare:
Rughe e segni del tempo
Volume delle labbra
Qualità e luminosità della pelle
Armonia del sorriso e del viso
L’equilibrio tra le diverse proporzioni facciali.
Ogni trattamento è personalizzato per ottenere risultati naturali, equilibrati e in linea con i tuoi lineamenti.
L’obiettivo non è trasformare il volto ma migliorarne l’armonia rispettando l’unicità di ogni paziente.





























