Denti lunghi e sorriso inestetico: un problema da non sottovalutare
Un sorriso armonioso è il nostro miglior biglietto da visita. Ma cosa succede quando i denti appaiono troppo lunghi e il sorriso risulta inestetico? In questo articolo, il Dentista a San Benedetto del Tronto spiega le cause, le conseguenze e le soluzioni possibili per contrastare l’abbassamento gengivale.
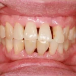
Tra le principali cause di recessione gengivale troviamo una gengiva sottile, non in grado di resistere a traumi, ma soprattutto uno scorretto utilizzo dello spazzolino spesso usato con un movimento verticale puro dall’arcata superiore all’inferiore e viceversa. In misura minore contribuiscono anche infiammazioni croniche del margine gengivale, malocclusioni dentali, bruxismo (digrignamento dei denti), inserzioni muscolari che tirano i tessuti, denti malposizionati o sporgenti.Talvolta le cause non sono identificabili.
Il fenomeno comporta un danno estetico importante, soprattutto se coinvolge i denti frontali, oltre a una maggiore sensibilità dentale e a un rischio aumentato di carie radicolare. Inoltre la recessione gengivale può danneggiare il supporto osseo dei denti, peggiorando nel tempo e rendendo gli interventi correttivi sempre più complessi.
Come prevenzione il Dentista a San Benedetto del Tronto raccomanda uno spazzolamento corretto con movimenti rotatori delicati su entrambe le arcate. Ulteriori misure includono trattamenti ortodontici per allineare i denti, l’uso di bite per gestire malocclusioni o bruxismo e, nei casi più gravi, interventi ambulatoriali per ripristinare l’altezza e lo spessore naturale delle gengive.
Presso il nostro Studio dentistico San Benedetto, valutiamo ogni caso con attenzione e proponiamo soluzioni personalizzate per restituirti un sorriso sano e naturale.
👉 Vuoi approfondire l’argomento e vedere esempi pratici?
Guarda il video dedicato sul nostro canale YouTube e scopri come affrontare al meglio questo problema.
📞 Chiama lo 0735 588984 oppure scrivi a info@dottor-salotti.it per richiedere una visita personalizzata.
👉 Il Nostro canale dove puoi trovare tutti i nostri video:











